Dr. Jeffrey Morrison offers several cosmetic and restorative services at our dental office in Orem, Utah, that can help to enhance the appearance of your smile. We invite you to browse through the images below to see the many changes our dentist and team can make to smiles. Call Mountain Crest Dental Care today if you want to learn more. We are eager to speak with you!

Before B5
After A5

All porcelain crowns & veneers

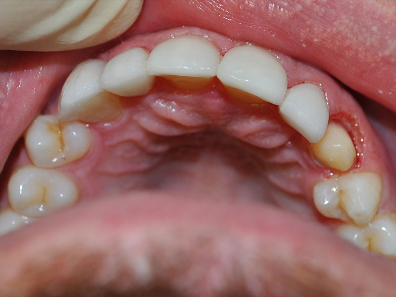
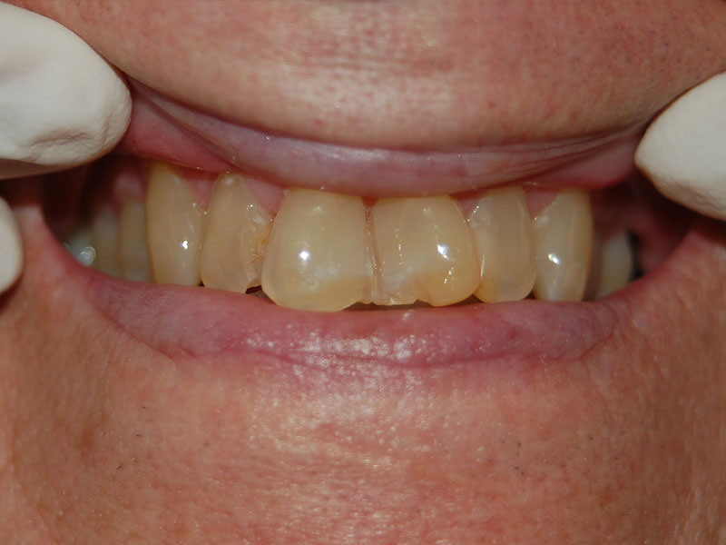
Before B1
After A1

Chips repaired with resin bonding “Tooth colored filling”

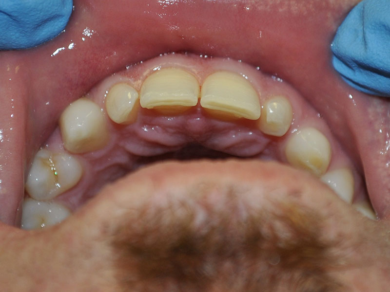
Before B2
After A2

Whitening

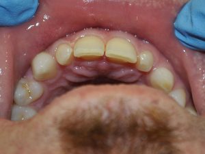
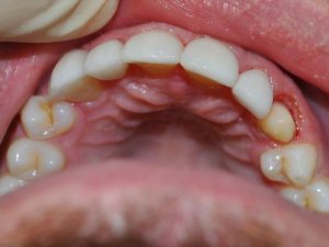
Before B3
After A3

Amalgam filling replaced with CEREC onlay

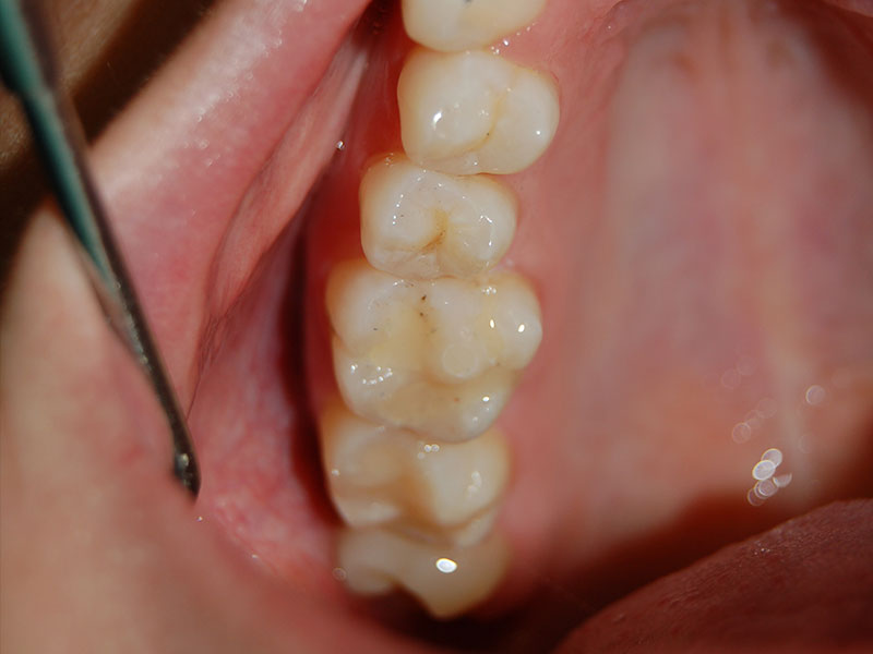
Before B4
After A4

All porcelain crowns & bridges

Before B6
After A6

All porcelain crowns & whitening

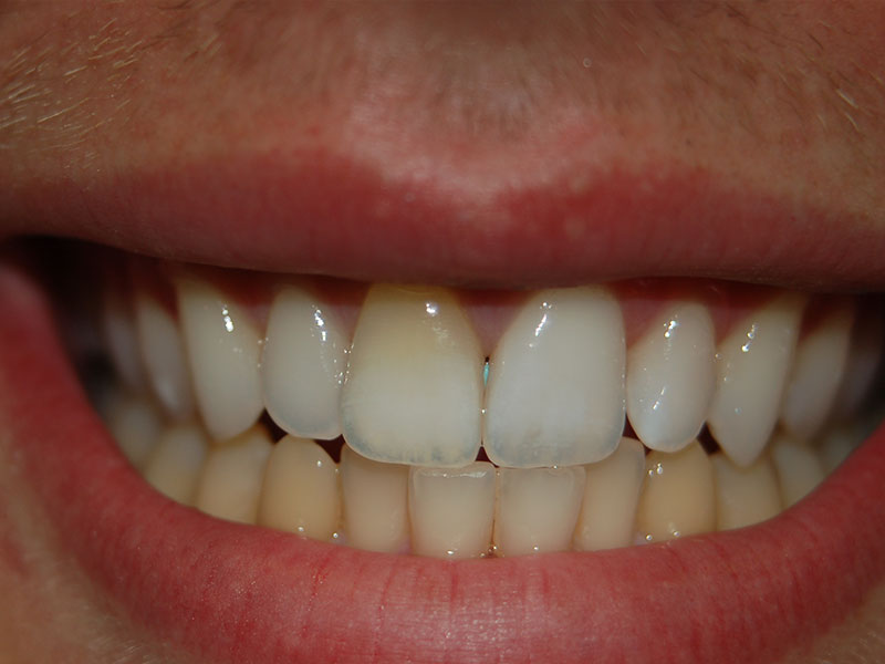
Before B7
After A7

All porcelain crowns & whitening

Before B8
After A8

All porcelain crowns

Before B9
After A9

All Porcelain Crowns & Veneers

Make a Reservation Today

Request Appointment